This topic is usually approached cautiously. I will list the most commonly performed procedures for stifle (knee) stabilization. As a surgeon I recommend surgical management for ACL tears in the dog. If no surgery is performed the body will typically develop enough scar/fibrous tissue to stabilize the knee, however the timimg of this is very variable and the secondary arthritis can be severe in some cases. Surgical stabilization will create a stable joint at the time of surgery.
Direct replacement of the ACL has been attempted, but as of this time, has not been very successful. As I mentioned before, I will perform an arthroscopy (minimally invasive) and look in the joint with a small camera. This allows me to assess the ACL, debride the remnants of the ligament, and evaluate the rest of the joint especially the meniscus. If the meniscus is damaged this can also be addressed arthroscopically.
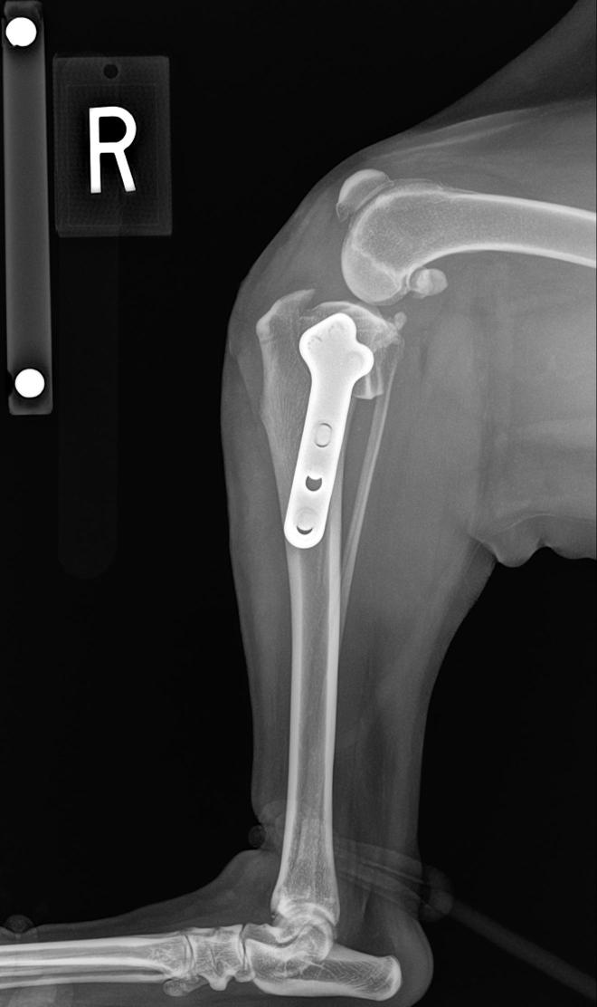
Common knee stabilization procedures:
1. Tibial Plateau Leveling Osteotomy (TPLO) – This procedure is a very common procedure that addresses the tibial plateau angle (TPA) or incline/slope of the tibia (refer to previous blog). With this procedure a circular cut is made under the joint in the tibia. Based on a calculation the top of the tibia is rotated to make the top of the tibia relatively flat. This relieves the tension and forward directed force from the ruptured TPLO. This is done in both partial or complete tears to the ACL. After the top of the tibia is rotated a plate and screws are placed on and in the bone. This is a widely used procedure that is typically very successful in returning the patient to near normal function.
2. Tibial Tuberosity Advancement (TTA) – This procedure is also a “bone-cutting” procedure but the osteotomy is not directly under the joint. It is in an area called the tibial tuberosity and is directed vertically (see picture). The idea is to alter the angle that the patellar ligament inserts on the tibial tuberosity to alter the amount of force the quadriceps exert on the stifle and eleviate the forward motion of the tibia. This also, is a successful procedure for stabilization of the knee joint for the partial and complete ACL tear.
3. Extracapsular stabilization – There are many variations of this technique whcih are beyond the scope of this blog. The general idea is to use a prosthetic ligament outside the joint running from the back part of the femur to the front part of the tibia to stabilize the knee joint. This can be a very successful procedure in the small breed dog, but looses its consistency (of being successful) in the larger, more active dogs. Also, we tend to see continuation of arthritis when compared to the TPLO and TTA.
As a surgeon, I try to guide the owner to a decision that will be the best fit for the patient based on many variables. The procedure that I perform the most is the TPLO, however, I do perform all the procedures. I think by tailoring the procedure to the patient one can increase the success rate for their patients. Complications can arise based on the circumstance, no procedure is foolproof.
