Typically a diagnosis of an ACL tear in a dog can be made based on physical exam. The findings of forward movement of the tibia (cranial drawer) generally allows the surgeon to go directly to surgery. Other ways to evaluate the knee are as follows:
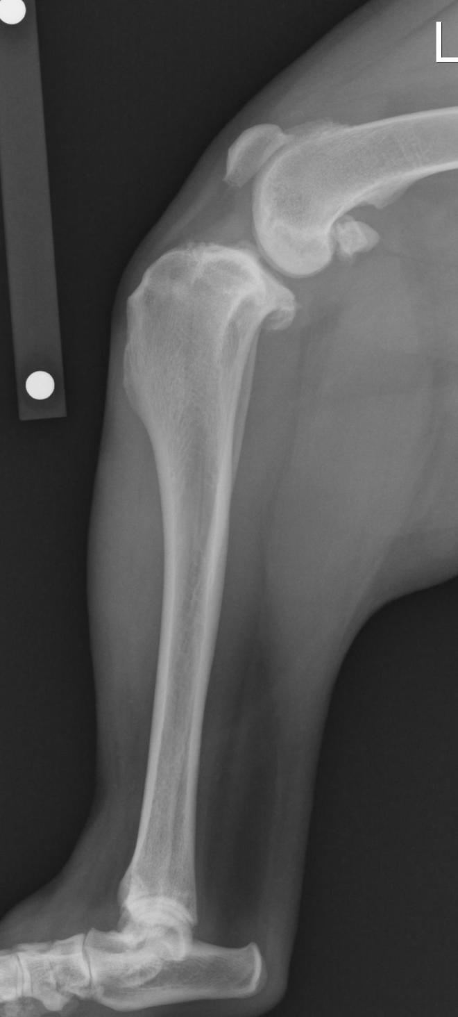
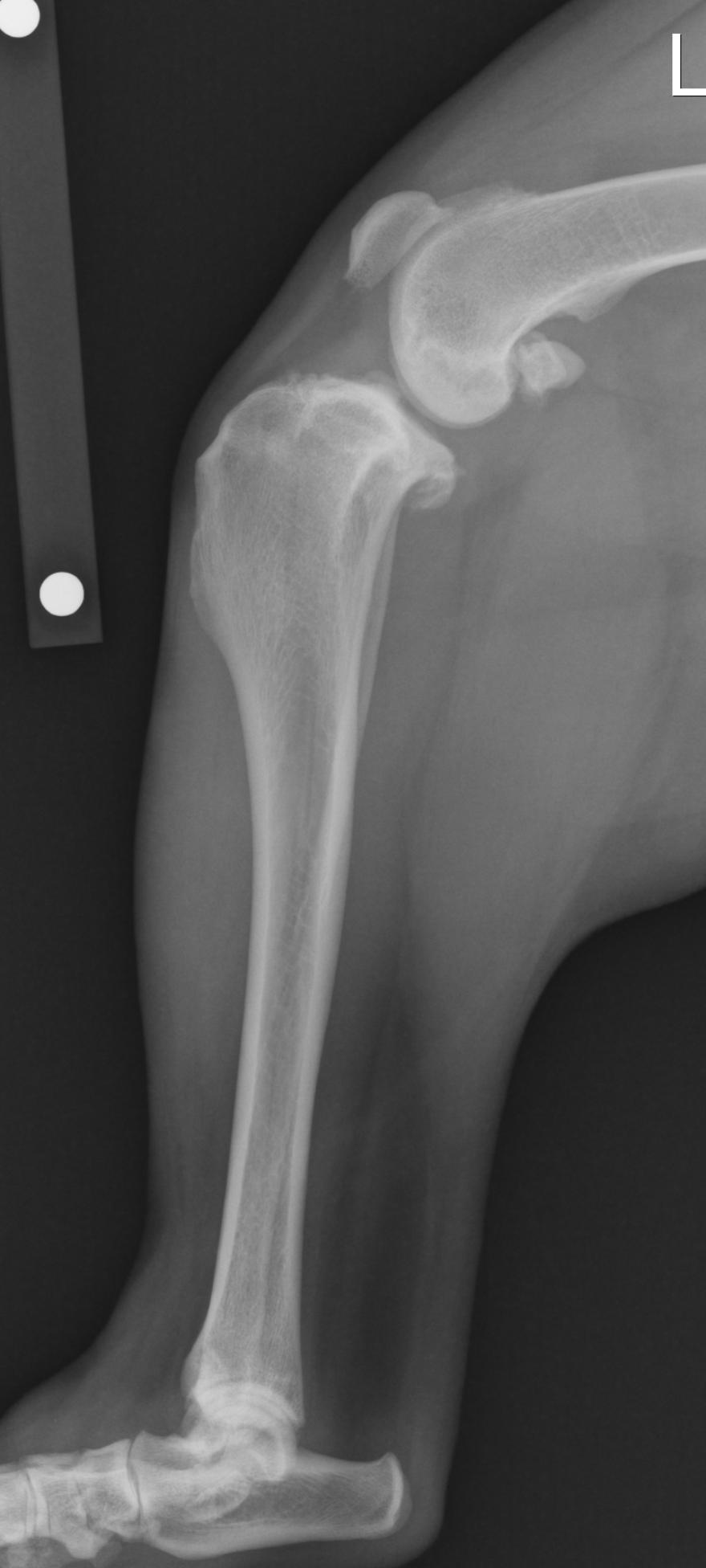
Radiographs: Classic radiographic findings are joint swelling, arthritic change and subluxation (forward movement) of the tibia in relation to the femoral. Classic areas of arthritic development are the patella, fabella, tibial plateau and femoral condylar ridges. I recommend the radiograph (x-ray) be taken with the knee and hock in 90 degree flexion. Please note the differences of the normal and affected knee in the radiographs attached. The benefit of radiographs for me is to see mild changes to confirm the diagnosis and to derive my measurements for either the tibial plateau leveling osteotomy (TPLO) or tibial tuberosity advancement (TTA) procedures.
MRI: While this is a very sensitive diagnostic test to run, generally it isn’t performed in veterinary medicine for this issue, unless the more common tests don’t reveal the answer and the patient is still lame. Unfortunately, a MRI will increase costs and not provide a treatment.
Arthroscopy: I am a big proponent of this method. This is performed at the same surgeory as the corrective procedures, prior to them. Fortunately, arthroscopy is a minimally invasive technique of evaluating the joint and gives us the ability to debride (clean-up) the joint. Between 30-50% of dogs will also injure the medial (inside) meniscus and arthroscopy will allow us to address that issue too. This is far less invasive than an open arthrotomy (opening the joint), which is the mainstay of treatment. Also, immediate recovery is a little quicker to, due to the increased nerve endings present in the joint capsule and muscle disruption.
Open Arthrotomy: This is performed by making a large incision into the joint and moving over the patella (knee cap) to visualize the ACL ligament and menisci. While this is the mainstay approach it is the most aggressive. This allows the surgeon to address the ACL and any meniscal tears.
As you have probably noticed, I am biased towards the knee arthroscopy to evaluate the joint as this is the most minimally invasive approach and allow excellent evaluation of the important structures of the joint. When one is proficient at this approach there really is not an increase in surgery/anesthesia time, making it safe and effective.
